Health & Wellness
Your trusted source for staying healthy, active, and informed. From managing chronic conditions and preventive care to mental wellness and healthy living tips, explore expert advice tailored to support your well-being at every stage of life.

Health & Wellness
Ozempic & Mounjaro: Post weight loss maintenance TIPS
After using weight-loss medications like Ozempic and Mounjaro, it’s important to adopt a sustainable approach to maintaining your weight loss. It’s crucial to ...

Health & Wellness
How To Manage Living With a New ALS Diagnosis
Did you recently receive an ALS diagnosis? This is life-changing information. Learn how to manage living with a new ALS diagnosis with our advice.

Health & Wellness
Understanding Gum Disease and the Treatment Options
Gum disease is a condition that can quickly become severe. To safeguard your oral hygiene, you need to understand gum disease and its treatment options.

Health & Wellness
3 Reasons To See a Doctor About Varicose Veins
Consult with your doctor if you have varicose veins. Addressing varicose veins can prevent medical complications and identify underlying conditions.

Health & Wellness
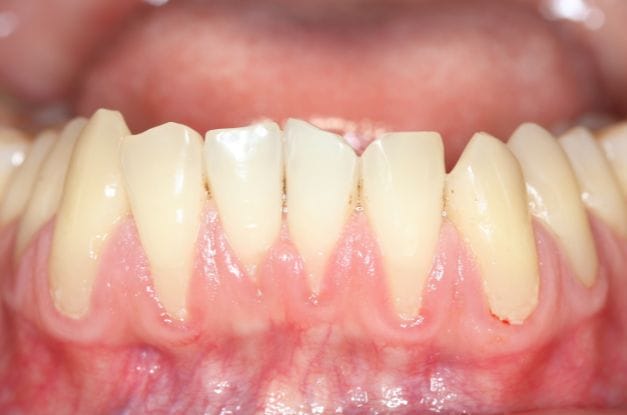
Symptoms of Receding Gums To Look Out For
Receding gums is a common condition in aging adults, especially those without proper dental hygiene. Discover symptoms of receding gums to be aware of.

Health & Wellness
Effective Hygiene Practices for Catheter Users
One of the things older adults must use for certain health conditions is a catheter. Learn effective hygiene practices catheter users use to stay healthy.

Health & Wellness
Few People Know What a Health Coach Does – But Everyone Should!
If there’s one lesson to be learned from the COVID-19 pandemic and its still-emerging variants, it’s that better overall health ...





